In-Office
without Light
 

Teeth Whitening without light

In Office whitening without a light is done in the dental
office and is performed by a dental professional.


Here is why you want to choose this option:

 

teeth whitening Higher concentration whitening gel
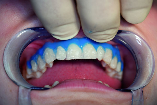
In-office whitening is controlled by your dental professional and this means higher concentrations of the whitening gel can be used. In order to protect the gum tissue a rubber material is put on the gums to seal it off
. (blue material on photo)
teeth whitening More cost effective 
Systems that does not use a light source is more cost effective for the patient as the material cost is far less.
teeth whitening

The most popular dentist prescribed options include:
* Dash Whitening
* Opalescence Boost



teeth whitening cape town

Back to Menu

 

   teeth whitening  UNLIMITED
         WHITENING
 

 
   teeth whitening  LATEST NEWS
        -news Blog

   teeth whitening  Refer a FRIEND

 

   teeth whitening  SELF ANALYSIS
          Is This For Me?