Walking Bleach

 Walking Bleach

 

What is it?
When the nerve inside your tooth becomes non-vital(dead) the tooth often undergoes a colour change. This is very noticeable when the tooth is a front tooth. Normal teeth whitening applied from the outside(as in tray whitening) will not have a noticeable effect.

The tooth needs to be whitened from the inside out. This internal whitening or walking bleach usually takes place by a dentist  placing the whitening agent inside the tooth and close it with a temporary restoration. Then tooth then whitens over a couple of days while the patient is on the go. The whitening can be exchange a couple of times and finally the tooth is sealed off with a permanent restoration.

Why does a tooth become non-vital?
Any damage to the vital nerve tissue can result in irreversable damage. Common causes of nerve damage are:

* trauma
Often the patient will have a history of a childhood accident
even many years prior to the colour change.
(examples include: sporting accident, fell in bathtub etc.)88

* Infection
Previous tooth decay or tooth abscess can lead to
discolouration of the tooth.

* Root treatment
Root canal treatment is usually the treatment to clean the
infected tooth, but the tooth stays non-vital and will still result
in discolouration.

 
The Procedure
The dentist will examine the tooth and an x-ray is necessary to inspect the root for possible infection.


If root treatment has not been performed this will be the next step. This will ensure all the infection is gone and even that the tooth is now 'dead', it is still durable and strong to last many years to come.

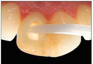
A small opening is made at the back of the front tooth to place the 'walking bleach' solution/gel. The area is sealed with a temporary restoration and the patient is left for a couple of days for the whitening to take effect. (walking bleach)

This process can be repeated a few times depending on the level of whiteness needed. Finally the gel is removed and a final restoration is placed to seal the tooth.


Will the tooth fade again?
Beacause the tooth is non-vital, it can gradually darkens over time again and the walking bleach procedure could be repeated again.


Other restorative options?
As this tooth is non-vital, the dentist can also decide to strenghten the tooth with a crown to ensure longterm stability.

 

 
      Placing gel in back of tooth
        Back of tooth showing gel placement

 

 

       Dark front tooth
                  Dark front tooth indicating
                         the tooth is 'dead'

 

 

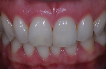
       After
           Great result after whitening


 

             Root treatment done
               White line indicating
                  root treatment

 

 

      
 

 

 

   teeth whitening  UNLIMITED
         WHITENING
 

 
   teeth whitening  LATEST NEWS
        -news Blog

   teeth whitening  Refer a FRIEND

 

   teeth whitening  SELF ANALYSIS
          Is This For Me?